top of page
子供の上顎前突症例
子供の上顎前突症例です。
非抜歯で治療を行っています。
治療後は口元がとてもきれいなラインになりました。
歯並びがきれいになると、スマイルや横顔もキレイになります。
それも、矯正治療の目的のひとつです。
Treatment
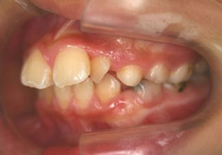
〈治療前〉 子供の上顎前突症例
〈治療後〉 スマイルがとてもきれいになりました。横顔の口元も少し後退し、すっきりしました。










bottom of page
子供の上顎前突症例です。
非抜歯で治療を行っています。
治療後は口元がとてもきれいなラインになりました。
歯並びがきれいになると、スマイルや横顔もキレイになります。
それも、矯正治療の目的のひとつです。
〈治療前〉 子供の上顎前突症例
〈治療後〉 スマイルがとてもきれいになりました。横顔の口元も少し後退し、すっきりしました。









